Volumetric Virtuality
할머니의 CT 사진 속 텅 빈 공간, 배우의 신체를 대체하는 디지털 트윈, 해저 깊숙이 증식하는 데이터 센터. 서로 다른 장면처럼 보이지만, 하나의 공통된 어긋남(비정상)이 감지됩니다. 현실의 물리적 신체는 점점 더 가볍고 납작해지고, 기술이 만들어내는 가상의—그리고 가상을 위한—구조는 점점 더 거대해집니다. 이 글은 개인의 경험, 사회적 사건, 기술 인프라를 횡단하면서, 기술과 신체, 현실과 가상의 사이에서 떠오른 공통된 감각— ‘가상의 부피감(Volumetric Virtuality)’을 추적합니다.
The hollow void in my grandmother’s CT scan, the digital twin replacing an actor’s body, the deep-sea data centers expanding beneath the ocean—these seemingly disparate scenes all reveal a common dissonance. The physical body in reality is becoming lighter, flatter, while the structures created by—and for—the virtual grow ever larger. This essay traverses personal experience, social events, and technological infrastructure to trace a shared sensibility emerging at the intersection of technology and the body, the real and the virtual: a sense of volumetric virtuality.
1. 검은 공동의 시작
19세기 후반 마레이(Étienne-Jules Marey)의 실험실에서 검은 공동의 구조가 등장한다. 그는 신체의 움직임, 근육의 수축, 혈압의 변화 등을 그래픽으로 기록하고 시각화하기 위해 다양한 기구를 고안했고, 그 실험실은 이러한 기구들과 촬영 장치들이 집중된 실험 공간이었다. 마레이는 평면이 아닌 공동(cavity) 구조를 배경으로 삼았다는 기록이 있는데, F.A. Talbot은 그의 저서 Moving Pictures: How They Are Made and Worked (1912)에서 이 공간을 “벽이 제거된 깊은 공동, 내부 전체가 벨벳과 피치로 검게 칠해진 구조”라고 설명한다. 움직임을 포착하기 위한 이 실험실은, 빛의 반사를 제거하고, 배경을 완전히 흡수함으로써 움직임이나 신체의 외곽이 아닌 ‘선과 점’으로서의 움직임이 돋보이게 하려는 설계였다.
“The black screen employed was in reality a black cavity, known as “Chevreul’s black.” The cavity may be likened to a shed, the front wall of which is removed, and the whole interior blackened. In the screen used by Marey at the Physiological Station in Paris, the back of the shed was hung with black velvet, the floor was covered with pitch, while the sides and ceiling were treated with a dead black medium.” -Moving Pictures: How They Are Made and Worked by Frederick Arthur Ambrose Talbot (21p)
Le mouvement, Jules Etienne Marey, 1894
Jules Etienne Marey, Joinville Soldier Walking , 1883
2. 투명해진 신체에서 발견된 검은 공간
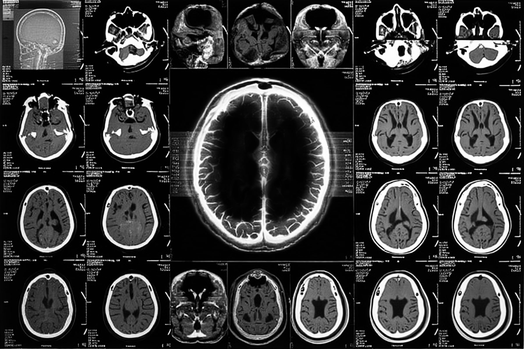
CT 이미지 속 할머니의 신체는 조용했다. 투명하게 드러난 내부, 정지된 장기와 뼈의 윤곽 사이로 검은 공동이 자리 잡고 있었다. 예상치 못한 부재. 가득 차있어야 할 머릿속이 텅 비어버린. 밀도가 낮은 부분이 검은 공동의 이미지로 나타난 순간. ‘이상 소견’은 말보다 이미지로 먼저 제시된다. 영사 기기에 뉘어진, 부피를 가진 몸이 0과 1로 이루어진 데이터로 번역된다. 납작해진다. 그 불안도 납작해진다.
현대에 이르러 엑스선을 잇는 다양한 의료영상 기법들이 개발되며 신체 투시의 범위와 정밀도는 비약적으로 확대되었다. 투명해진 몸은 불가침의 은밀한 내부를 가진 실체가 아니라 분해되고 재구성 가능한 시각데이터의 집합으로 인식되기에 이르렀다. Lisa Cartwright는 의료 영상 기술이 신체의 ‘보이지 않는 내부’를 시각화함으로써, 신체를 감각의 바깥으로 밀어내는 시각적 체계를 형성한다고 말한다. 그녀는 의료 영상 이미지가 진단 언어를 앞서 해석의 자리를 선점하고, 감각을 대신하는 새로운 지각의 질서를 만들어낸다고 보았다. 이미지는 ‘감각의 앞에 선 시각’이 되고, 그 시각은 곧 신체의 실체를 대신하게 된다.

움직임을 ‘평면화’하기 위한 마레이(Étienne-Jules Marey)의 실험실을 지나 납작해진 신체의 CT 이미지에서 발견된 검은 공동. 이 두 장면은 모두 신체를 기술적 시선으로 번역하려는 시도 속에서, 그 사이에 감각적 거리감, 이물감, 심지어 공포가 발생한다. 실제 신체는 화면 위 ‘가시화된 신체’와 일치하지 않으며, 신체와 신체의 데이터는 분리되기 시작한다. 검은 공동이, 어떤 부피가. 부풀어오른다.
3. 디지털 트윈? 배우의 가상 더블
오늘날 이 ‘검은 공동’은 또 다른 방식으로 확장된다. 배우는 자신의 신체를 데이터화하는 계약에 서명한다. 다수의 고해상도 카메라가 원형으로 배치된 포토그래메트리 스튜디오에 들어서면, 그의 몸은 수백 개의 시점에서 동시다발적으로 캡처된다. 피부의 질감, 자세, 표정, 움직임은 3D 메쉬로 재구성되고, 이를 바탕으로 가상 아바타—‘디지털 더블’—이 생성된다. 이 더블은 배우 없이도 연기할 수 있고, 스튜디오의 동의만 있다면 원본이 없는 장면에도 등장할 수 있다.
최근 SAG-AFTRA(미국영화배우조합)의 파업은 이러한 디지털 복제가 배우의 노동 조건과 정체성에 어떤 위협을 가하는지를 드러낸다. 데이터는 배우보다 오래 남는다. 촬영이 끝난 후에도, 은퇴한 후에도, 심지어 사망 후에도, 그 디지털 더블은 계속 작동할 수 있다. 신체는 이미지의 조건이 아니라, 이미지 생성의 출발점으로 기능한다. 그것은 이제 원본이 되기를 멈추었고, 스캔 데이터의 촉매로 기능할 뿐이다. 이 ‘가벼운 신체’는 압축 가능하고, 전송 가능하며, 복제 가능하다. 반면 물리적 신체는 더 이상 그 기술적 재현을 따라가지 못한다. 신체는 여전히 그자리에 존재하지만, 이미지—주체—디지털 더블은 신체로부터 이탈한다. 디지털 더블이 부유하는 사이, 원본의 육체는 기술의 시선에서 벗어난다. 그 사이 벌어진 시간차와 감각 차이가 부피감을 만든다—존재하지 않는 신체가 오히려 더 도드라지는 순간. 가상의 부피는 그렇게 다시 부풀어 오른다.
4. 보이지 않는 부피: 가상을 지탱하는 인프라의 공간
우리가 사용하는 CT 이미지, 디지털 더블, 그 모든 비물질적 데이터는 결국 어딘가에 저장되고 전송되어야 한다. 그것이 도달하는 곳은 클라우드라 불리는 서버 네트워크이며, 그 중심에는 거대한 데이터 센터들이 있다. 수천 개의 서버가 쉴 새 없이 작동하고, 엄격하게 통제된 온도와 조명, 자동화된 설비로 유지되는 이 공간은 효율성과 침묵의 미학을 갖춘 기술의 핵심이다.
2023년 기준 전 세계 데이터 센터는 약 8,000개를 넘어섰고, 그 중 상당수는 수면 아래—바다 깊은 곳에 매설되거나, 북유럽의 냉각 환경을 활용한 폐광에 위치해 있다. 예컨대 마이크로소프트는 수년 전 스코틀랜드 해안 근처 바닷속에 실험적 데이터 센터를 설치했고, 2023년에는 중국 하이난에서도 대규모 해저 데이터 센터 건설이 공식화되었다. 이 프로젝트는 수심 35미터 아래 설치된 수백 기의 서버 모듈을 통해 냉각 효율을 극대화하고, 해양 공간을 활용한 차세대 인프라로 주목받고 있다. 이 구조물은 단순한 저장소가 아니라, 전력과 냉각, 통신을 포함한 복잡한 생태계를 요구한다. 0과 1로 구성된 디지털 신체는, 아이러니하게도 거대한 물리적 신체 없이는 존재할 수 없다. 가상은 점점 더 많은 물리적 부피를 요구한다.
Timo Arnall의 영화《Internet Machine》(2014)을 본 어떤 시청자는 “데이터 센터는 수술실과도 같아서 정말 깨끗하고 정돈되어 있다. 퇴근 후 현장을 거닐다 보면 어딘가 으스스한 기분이 든다. 그 넓은 공간, 그 모든 기술, 그 모든 1과 0은 있지만, 그 어디에도 발자국은 보이지 않는다”고 말한다.
가상의 부피감
어떤 것이 점점 사라지는 동시에, 어떤 것은 점점 더 증식한다. 마레이의 검은 공동, CT의 텅 빈 구멍, 디지털 트윈의 빈 껍질, 그리고 해저의 데이터 센터가 모두 하나의 연속된 장면으로 이어진다. 움직이는 것들을 붙잡고자 한 욕망이 모두 실재보다 앞서 반응하고, 실재보다 오래 남는 가상적 부피를 구성한다.
몸에 구멍이 생긴 것 같은 감각이 세계의 또 다른 질서일지도 모르겠다는 생각과 함께, 뻥 뚫린 구멍에 들어앉아 울음주머니를 부풀리는 개구리처럼 개인전 《Vooooo---Peeeeee---: 가상의 부피감 (2025, TINC)》에서는 VR 장치, 에어수트, 퍼포먼스라는 서로 다른 매체를 통해 이 이상한 부피감을 마주해보고자 했다. 기술이 만든 검은 공동, 구멍을 열어 그 너머의 세계를 들여다본다. 너의 세계를 들여다본다.
VR 장치 속 나의 손이 개구리의 손으로 변한다. 개구리의 손으로 구멍을 만든다. 에어수트가 이에 맞춰 부---하며 부풀고 피---하며 가라앉는다. 디지털 트윈으로 변한 할머니가 나와 함께 춤을 춘다. 검은 공동이 만들어낸 환상 속으로, 우리는 적극 뛰어든다.
1. The Emergence of the Black Cavity
In the late 19th century, a particular spatial structure—a black cavity—emerged in the laboratory of Étienne-Jules Marey. Marey designed a range of instruments to record and visualize bodily movements, muscular contractions, and fluctuations in blood pressure. His laboratory functioned as a concentrated site for these experimental devices and imaging apparatuses. Unlike a flat backdrop, Marey is documented to have used a cavity-like structure as the background for his recordings. In his 1912 book Moving Pictures: How They Are Made and Worked, F. A. Talbot describes the space as “a deep cavity with the front wall removed, the entire interior blackened with velvet and pitch.” This experimental setup was designed to eliminate light reflection and absorb the background entirely, making movement itself—rendered as lines and points, rather than bodily outlines—stand out more clearly.
“The black screen employed was in reality a black cavity, known as “Chevreul’s black.” The cavity may be likened to a shed, the front wall of which is removed, and the whole interior blackened. In the screen used by Marey at the Physiological Station in Paris, the back of the shed was hung with black velvet, the floor was covered with pitch, while the sides and ceiling were treated with a dead black medium.” -Moving Pictures: How They Are Made and Worked by Frederick Arthur Ambrose Talbot (21p)
Le mouvement, Jules Etienne Marey, 1894
Jules Etienne Marey, Joinville Soldier Walking , 1883
2. The Black Cavity Revealed Within the Transparent Body
The CT image of my grandmother’s body was quiet. Inside the transparent rendering—amid the outlines of still organs and bones—a black cavity had formed. An unexpected absence. The inside of a head that should have been full appeared completely hollow. A region of low density surfaced as the image of a void. The “abnormality” arrived not in words, but through the image first. A body with volume, laid upon a scanning table, was translated into a stream of data composed of 0s and 1s. It flattened. So did the unease.
With the development of various medical imaging technologies—building upon the legacy of X-rays—the reach and precision of bodily visualization have expanded dramatically in modern times. The transparent body is no longer perceived as an untouchable, secret interior, but rather as a collection of visual data, decomposable and reconfigurable. Lisa Cartwright observes that medical imaging technologies construct a visual system that pushes the body beyond the realm of sensory perception by visualizing its “invisible interior.” According to her, these images preempt the act of diagnosis—they take the place of interpretation before language—and establish a new order of perception that displaces human senses. The image becomes a “vision that stands before sensation,” and that vision comes to substitute for the body’s material reality.

Passing through Étienne-Jules Marey’s laboratory—designed to flatten movement into graphic traces—we encounter a black cavity within the CT image of a flattened body. These two scenes, though separated by over a century, both reflect attempts to translate the body through a technological gaze. In this process, a sensory distance emerges—an estrangement, even fear. The actual body no longer aligns with its “visualized” counterpart on the screen; the body and its data begin to diverge. A black cavity, some kind of volume, begins to swell.
3. Digital Twin? The Actor’s Virtual Double
In the present day, this 'black cavity' continues to expand in new and unexpected ways. An actor signs a contract to have their body datafied. Entering a photogrammetry studio—where numerous high-resolution cameras are arranged in a circular formation—their body is simultaneously captured from hundreds of angles. Skin texture, posture, facial expressions, and movement are reconstructed into a 3D mesh, from which a virtual avatar—a “digital double”—is created. This double can perform without the actor’s presence and, with studio consent, even appear in scenes that the original never filmed.
The recent SAG-AFTRA (Screen Actors Guild–American Federation of Television and Radio Artists) strikerevealed how such digital replication threatens actors’ working conditions and identities. Data outlives the actor. Even after filming ends, after retirement, even after death, the digital double can continue to perform. The body no longer serves as a condition for the image—it simply functions as the starting point for image production. It has ceased to be the original and instead acts as a catalyst for scanned data. This “light body” is compressible, transmittable, and replicable. In contrast, the physical body can no longer keep up with its technological reproduction. The body still exists, but the image—the subject—the digital double—has drifted away from it. While the digital double floats freely, the original body escapes the gaze of technology. The temporal and sensory gaps that open up between them generate a sense of volume—a moment when the non-existent body becomes even more pronounced. The virtual volume swells once again.
4. The Invisible Volume: The Infrastructural Space That Sustains the Virtual
The CT images we use, the digital doubles, and all immaterial data must ultimately be stored and transmitted somewhere. That destination is the server network known as the cloud, at the heart of which lie massive data centers. In these spaces, thousands of servers operate ceaselessly, maintained under strictly regulated temperature and lighting conditions, and supported by automated systems. These sites represent the technological core, embodying an aesthetics of efficiency and silence.
As of 2023, the number of data centers worldwide has exceeded 8,000, many of which are located beneath the surface—either buried deep underwater or situated in abandoned mines in Northern Europe that offer naturally cold environments. For instance, Microsoft installed an experimental underwater data center off the coast of Scotland several years ago. In 2023, China also officially launched a large-scale subsea data center project in Hainan. This initiative places hundreds of server modules 35 meters below sea level, maximizing cooling efficiency and positioning itself as a next-generation infrastructure utilizing ocean space.
These structures are more than just storage facilities—they require a complex ecosystem of electricity, cooling, and communication systems. The digital body, composed of zeros and ones, paradoxically cannot exist without a massive physical body. The virtual increasingly demands physical volume. One viewer of Timo Arnall’s film Internet Machine (2014) remarked, “A data center is like an operating room—extremely clean and orderly. When you walk through the space after hours, it feels eerie. There's all this space, all this technology, all these ones and zeros—but not a single footprint in sight.”
Volumetric Virtuality
While something gradually disappears, something else proliferates. Marey’s black cavity, the hollow void in the CT scan, the empty shell of the digital twin, and the underwater data center all unfold as a continuous sequence of scenes. The desire to capture movement ends up constructing a virtual volume—one that reacts faster than the real and lingers longer than the physical.
The sensation of having a hole in the body—perhaps it is another order of the world. In my solo exhibition Vooooo---Peeeeee---: Volumetric Virtuality (2025, TINC), I sought to confront this strange sense of volume through the interplay of VR devices, air suits, and performance. The black cavity shaped by technology becomes a portal—an opening through which to peer into another world. Into your world.
Inside the VR headset, my hand transforms into that of a frog. With the frog’s hand, I create a hole. The air suit swells with a deep vooo and sinks with a soft peee. My grandmother, rendered into a digital twin, dances beside me. Into the illusion conjured by the black cavity, we leap—deliberately, fully.